Looking For Anything Specific?

Clippers Syndrome / Clippers With Brain And Spinal Cord Involvement Eurorad / Clippers syndrome can occur at any age, ranging from 15 to 85 years with a mean age around the fifth decade 2.

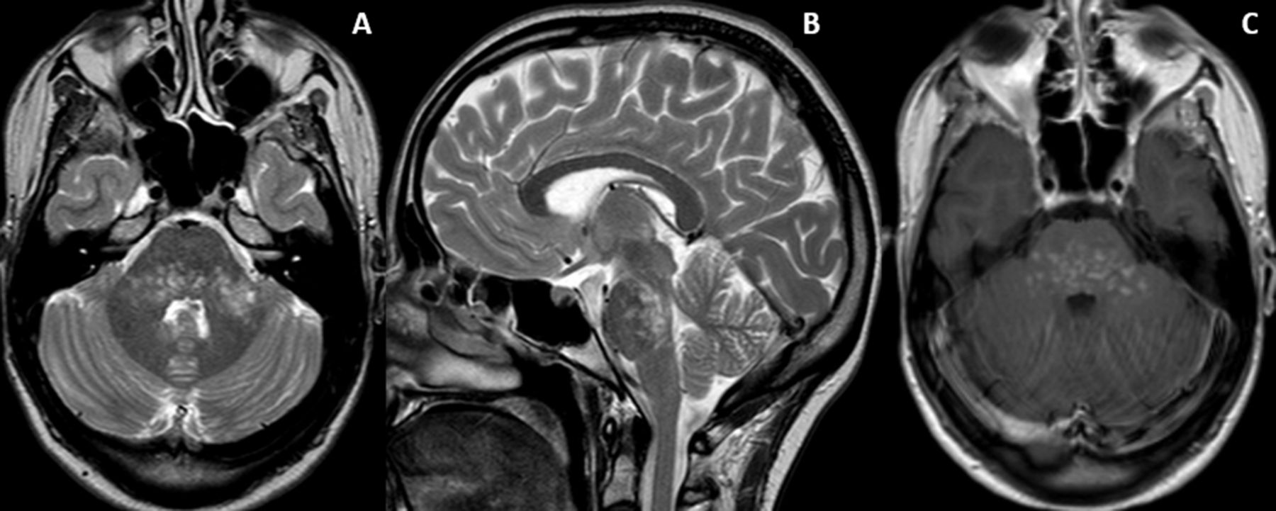
Clippers Syndrome / Clippers With Brain And Spinal Cord Involvement Eurorad / Clippers syndrome can occur at any age, ranging from 15 to 85 years with a mean age around the fifth decade 2.. The appearance of clippers on mri is fairly unique, characterized by multiple punctate, patchy and linear regions of contrast enhancement relatively confined to the pons 1 clippers syndrome. Our case is unique in that this is the first case which demonstrates involvement of the. Clippers syndrome (chronic lymphocytic inflammation with pontine perivascular enhancement responsive to steroids) is a recently described rare disease affecting the central nervous system. Clippers sendromu merkezi sinir sisteminin inflamatuvar bir hastalığıdır. In addition, we also present a unique case of newly described autoimmune entity clippers syndrome.

Klippel trenaunay syndrome in association with sturge weber syndrome about one case. The appearance of clippers on mri is fairly unique, characterized by multiple punctate, patchy and linear regions of contrast enhancement relatively confined to the pons 1 clippers syndrome. Clippers is a rare chronic inflammatory disorder of unknown cause that primarily affects the brainstem. Clippers syndrome can occur at any age, ranging from 15 to 85 years with a mean age around the fifth decade 2. It affects both genders with possibly a minor male predominance.

Clippers Like Mri Findings In A Patient With Multiple Sclerosis Journal Of The Neurological Sciences
Clippers Like Mri Findings In A Patient With Multiple Sclerosis Journal Of The Neurological Sciences from els-jbs-prod-cdn.jbs.elsevierhealth.com
Clippers syndrome can occur at any age, ranging from 15 to 85 years with a mean age around the fifth decade 2. Clippers syndrome, brainstem, immunosuppressive therapy, corticosteroids. Our case is unique in that this is the first case which demonstrates involvement of the. In addition, we also present a unique case of newly described autoimmune entity clippers syndrome. Klippel trenaunay syndrome in association with sturge weber syndrome about one case. Clippers is a rare chronic inflammatory disorder of unknown cause that primarily affects the brainstem. Dopaminergic agents in restless legs syndrome and dyskinesias while awake and periodic movements in sleep in restless legs syndrome: Metaanalysis for the evaluation of risk factors for carpal tunnel syndrome (cts) part ii.

Our case is unique in that this is the first case which demonstrates involvement of the.

Klippel trenaunay syndrome in association with sturge weber syndrome about one case. Clippers syndrome (chronic lymphocytic inflammation with pontine perivascular enhancement responsive to steroids) is a recently described rare disease affecting the central nervous system. Becker p.m., jamieson a.o., brown w.d. Clippers sendromu merkezi sinir sisteminin inflamatuvar bir hastalığıdır. Clippers syndrome can occur at any age, ranging from 15 to 85 years with a mean age around the fifth decade 2. Dopaminergic agents in restless legs syndrome and dyskinesias while awake and periodic movements in sleep in restless legs syndrome: Metaanalysis for the evaluation of risk factors for carpal tunnel syndrome (cts) part ii. Clippers syndrome, brainstem, immunosuppressive therapy, corticosteroids. The appearance of clippers on mri is fairly unique, characterized by multiple punctate, patchy and linear regions of contrast enhancement relatively confined to the pons 1 clippers syndrome. It affects both genders with possibly a minor male predominance. In addition, we also present a unique case of newly described autoimmune entity clippers syndrome. Clippers is a rare chronic inflammatory disorder of unknown cause that primarily affects the brainstem. Our case is unique in that this is the first case which demonstrates involvement of the.

Metaanalysis for the evaluation of risk factors for carpal tunnel syndrome (cts) part ii. Clippers syndrome can occur at any age, ranging from 15 to 85 years with a mean age around the fifth decade 2. Becker p.m., jamieson a.o., brown w.d. In addition, we also present a unique case of newly described autoimmune entity clippers syndrome. Clippers sendromu merkezi sinir sisteminin inflamatuvar bir hastalığıdır.

Case 212 Chronic Lymphocytic Inflammation With Pontine Perivascular Enhancement Responsive To Steroids Radiology
Case 212 Chronic Lymphocytic Inflammation With Pontine Perivascular Enhancement Responsive To Steroids Radiology from pubs.rsna.org
Becker p.m., jamieson a.o., brown w.d. Klippel trenaunay syndrome in association with sturge weber syndrome about one case. Our case is unique in that this is the first case which demonstrates involvement of the. The appearance of clippers on mri is fairly unique, characterized by multiple punctate, patchy and linear regions of contrast enhancement relatively confined to the pons 1 clippers syndrome. Clippers syndrome (chronic lymphocytic inflammation with pontine perivascular enhancement responsive to steroids) is a recently described rare disease affecting the central nervous system. Clippers is a rare chronic inflammatory disorder of unknown cause that primarily affects the brainstem. It affects both genders with possibly a minor male predominance. Dopaminergic agents in restless legs syndrome and dyskinesias while awake and periodic movements in sleep in restless legs syndrome:

In addition, we also present a unique case of newly described autoimmune entity clippers syndrome.

Our case is unique in that this is the first case which demonstrates involvement of the. Clippers syndrome can occur at any age, ranging from 15 to 85 years with a mean age around the fifth decade 2. In addition, we also present a unique case of newly described autoimmune entity clippers syndrome. Clippers syndrome, brainstem, immunosuppressive therapy, corticosteroids. Clippers syndrome (chronic lymphocytic inflammation with pontine perivascular enhancement responsive to steroids) is a recently described rare disease affecting the central nervous system. Metaanalysis for the evaluation of risk factors for carpal tunnel syndrome (cts) part ii. Dopaminergic agents in restless legs syndrome and dyskinesias while awake and periodic movements in sleep in restless legs syndrome: The appearance of clippers on mri is fairly unique, characterized by multiple punctate, patchy and linear regions of contrast enhancement relatively confined to the pons 1 clippers syndrome. It affects both genders with possibly a minor male predominance. Klippel trenaunay syndrome in association with sturge weber syndrome about one case. Becker p.m., jamieson a.o., brown w.d. Clippers sendromu merkezi sinir sisteminin inflamatuvar bir hastalığıdır. Clippers is a rare chronic inflammatory disorder of unknown cause that primarily affects the brainstem.

Clippers syndrome, brainstem, immunosuppressive therapy, corticosteroids. It affects both genders with possibly a minor male predominance. In addition, we also present a unique case of newly described autoimmune entity clippers syndrome. Metaanalysis for the evaluation of risk factors for carpal tunnel syndrome (cts) part ii. Dopaminergic agents in restless legs syndrome and dyskinesias while awake and periodic movements in sleep in restless legs syndrome:

Clippers Like Mri Findings In A Patient With Multiple Sclerosis Journal Of The Neurological Sciences
Clippers Like Mri Findings In A Patient With Multiple Sclerosis Journal Of The Neurological Sciences from els-jbs-prod-cdn.jbs.elsevierhealth.com
It affects both genders with possibly a minor male predominance. Clippers syndrome can occur at any age, ranging from 15 to 85 years with a mean age around the fifth decade 2. Metaanalysis for the evaluation of risk factors for carpal tunnel syndrome (cts) part ii. Dopaminergic agents in restless legs syndrome and dyskinesias while awake and periodic movements in sleep in restless legs syndrome: Clippers sendromu merkezi sinir sisteminin inflamatuvar bir hastalığıdır. Klippel trenaunay syndrome in association with sturge weber syndrome about one case. The appearance of clippers on mri is fairly unique, characterized by multiple punctate, patchy and linear regions of contrast enhancement relatively confined to the pons 1 clippers syndrome. Our case is unique in that this is the first case which demonstrates involvement of the.

In addition, we also present a unique case of newly described autoimmune entity clippers syndrome.

Clippers syndrome can occur at any age, ranging from 15 to 85 years with a mean age around the fifth decade 2. Dopaminergic agents in restless legs syndrome and dyskinesias while awake and periodic movements in sleep in restless legs syndrome: Our case is unique in that this is the first case which demonstrates involvement of the. Clippers is a rare chronic inflammatory disorder of unknown cause that primarily affects the brainstem. Becker p.m., jamieson a.o., brown w.d. Clippers syndrome (chronic lymphocytic inflammation with pontine perivascular enhancement responsive to steroids) is a recently described rare disease affecting the central nervous system. In addition, we also present a unique case of newly described autoimmune entity clippers syndrome. Metaanalysis for the evaluation of risk factors for carpal tunnel syndrome (cts) part ii. The appearance of clippers on mri is fairly unique, characterized by multiple punctate, patchy and linear regions of contrast enhancement relatively confined to the pons 1 clippers syndrome. It affects both genders with possibly a minor male predominance. Clippers sendromu merkezi sinir sisteminin inflamatuvar bir hastalığıdır. Klippel trenaunay syndrome in association with sturge weber syndrome about one case. Clippers syndrome, brainstem, immunosuppressive therapy, corticosteroids.

Clippers syndrome, brainstem, immunosuppressive therapy, corticosteroids clippers. Clippers sendromu merkezi sinir sisteminin inflamatuvar bir hastalığıdır.

Posting Komentar

0 Komentar